
Pain on Top of Foot: What Causes It?
In Singapore, the trend of adopting a healthy and active lifestyle is increasing. Many of our patients have been telling us that they are trying

In Singapore, the trend of adopting a healthy and active lifestyle is increasing. Many of our patients have been telling us that they are trying

If you live on the East Coast of Singapore and plan to seek support for foot pain or mobility issues, our podiatry clinic at i12 Katong offers care that’s closer to home. With care plans tailored around your needs, we help you move with confidence.

Fungal foot infections, such as athlete’s foot and toenail fungus, are common conditions that affect many individuals. Despite being widespread, these infections can be notoriously

Ingrown toenails can be a painful and recurring issue for many individuals. It often requires early effective treatment to alleviate discomfort and prevent further complications.

An Achilles tendon tear or rupture can be a debilitating injury, often affecting athletes and active individuals. Understanding the signs and symptoms can help you

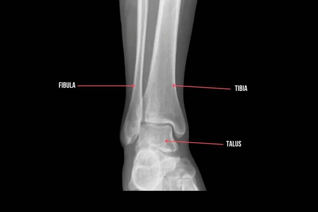
Introduction The ankle is an intricate structure that allows us to stand, walk, and move. Understanding the anatomy of the ankle is crucial in the

Flat feet, or fallen arches, can cause discomfort and pain for many individuals, impacting their daily activities and quality of life. Fortunately, the right pair

At Straits Podiatry, we understand how distressing nail trauma can be. Whether it’s arising from someone stepping on your toe or knocking against the door,

Foot fractures (break in a foot bone) can be painful and debilitating. That’s why we’ve put together this comprehensive guide to help you understand what

Healthy feet are crucial for a fulfilling life, especially in a city like Singapore, where people are always on the move. Many people tend to

Introduction The heel is more than just the back part of your foot; it’s a complex structure comprising various bones, muscles, ligaments, and tendons. Understanding

Introduction Heel pain is a common issue that many Singaporeans face, especially given the city-state’s urban environment. The combination of long commutes, extensive walking, and